🚀 یادگیری یک مهارت پرتقاضا و ساخت درآمد دلاری ، بدون سرمایه اولیه جزئیات بیشتر
توضیحات کوتاه :
شرکت سرویس های وب آمازون ( AWS ) تصمیم به اختصاص 12 میلیون دلار در سال 2021 به برنامه توسعه تشخیص دهی ابری ( cloud ) برای مبارزه با کووید 19 گرفته است.
می توان گفت سال 2020 سالی کاملاً متفاوت بود. در ماه مارس این سال بود که ویروس کرونا در تمام جهان شیوع پیدا کرد و خانواده ها، کسب و کار و جوامع زیادی را تحت تاثیر قرار داد.
بسیاری هنوز هم در حال جنگیدن با این ویروس هستند، ویروسی که تا به اکنون چندین جهش در ساختار خود داشته است و امروزه چند نوع مختلف آن جوامع ما را تهدید می کند.
سرعتی که این ویروس در شیوع داشت، باعث شد تا تشخیص آن به روش های معمولی کارآمد واقع نشود و از این رو جامعه درمانی و بهداشتی در پی روش های جدید تشخیص این بیماری با استفاده از تکنولوژی بر آمد.

در حالی که کشورها با معضل آزمایش توده ای شهروندان خود برای تشخیص کووید 19 دست و پنجه نرم می کردند، سرویس های وب آمازون (AWS) برنامه توسعه تشخیص دهی این ویروس را راه اندازی کردند.
این امر جهت کمک به سازمان های مختلف در سرتاسر جهان در به کارگیری قدرت و توانایی سیستم های ابری برای سرعت بخشی به روند تحقیقاتی و توسعه ای تشخیص این بیماری صورت گرفت.
از طریق این برنامه، AWS مبلغی معادل 20 میلیون دلار در سیستم های کامپیوتری و همچنین تیم خدماتی حرفه ای را برای حمایت از مشتریان خود اختصاص داد، این کار جهت سرعت بخشی از ایده ها و ابداعات نو در زمینه تشخیص این بیماری صورت گرفت.
در فاز اول این برنامه، AWS به بیش از 87 سازمان در 17 کشور مختلف کمک کرد، از مراکز تحقیقاتی و خیریه ای گرفته تا استارت آپ های کوچک و بیزینس های بزرگ همگی از جمله این سازمان ها بودند.
ما تا به اکنون مبلغی معادل 8 میلیون دلار به طیف وسیعی از پروژه های تشخیص بیماری اهدا کرده ایم. از جمله این پروژه ها آزمایش های مولکولی برای تشخیص انتی بادی ها، پادگن ها و اسید های هسته ای در بدن، استفاده از تصویر برداری در تشخیص بیماری، وسایل الکترونیک پوشیدنی ( ساعت ...)، و ابزار تجزیه و تحلیل داده ها که با استفاده از هوش مصنوعی و یادگیری رایانه ای به تشخیص این بیماری کمک می کنند، هستند.

با ورود به فاز دو این برنامه، تصمیم به توسعه و گسترش برنامه تشخیص بیماری گرفته ایم و خوشحالیم که می توانیم دیگر 12 میلیون باقی مانده از این پروژه را در سال 2021 بین مراکز و سازمان های مربوطه تقسیم کنیم. از دوازدهم اوریل قصد داریم تا حوزه فعالیت برنامه را به 3 زمینه دیگر گسترش دهیم:
تشخیص زودهنگام بیماری جهت شناسایی شیوع آن در فرد و جامعه
پیش بینی جهت درک هرچه بهتر روند پیش رو شیوع بیماری
بهداشت عمومی در زمینه ژنومیک برای تقویت بیشتر ژن ها در سرتاسر جهان.
AWS اولویت را به پروژه های کووید 19 تخصیص می دهد اما از تحقیقات در دیگر بیماری های واگیردار را نیز حمایت می کند. ما اواخر سال جاری را به بررسی و قبول درخواست ها اختصاص داده ایم، البته اولویت با آن دسته از درخواست هایی است که تا قبل از 31 جولای ثبت می شوند.
« ما شاهد تحولی عظیم در نحوه تشخیص بیماری در طول یک سال اخیر بوده ایم، از تجزیه و تحلیل تصویری ایکس ری با دستگاه های خود آموز گرفته تا توسعه در سرعت و کیفیت کیت های تشخیص بیماری که مستقیماً به دست مشتری می رسند، » به نقل از دکتر وین گوپتا، پزشک سرپرست تیم واکنش به کووید 19 آمازون.

« این تغییرات ادامه خواهند داشت و قطعاً به توانایی ما در واکنش به یک شیوع دوباره دیگر در آینده کمک خواهند کرد.ما همین الان هم نتایج امیدوار کننده ای از برنامه توسعه تشخیص دهی دریافت کرده ایم و به کمک و حمایت خود از استفاده از سیستم های ابری توسط سازمان ها برای تشخیص و مبارزه هرچه مؤثرتر با این بیماری و شیوع های احتمالی در آینده ادامه خواهیم داد. »
با تشدید همه گیری، ما توانستیم با استفاده از تکنولوژی AWS به آن واکنش نشان دهیم، این کار به کمک هزاران جامعه مختلف آمد که به نجات جان میلیون ها انسان در ایالات متحده منجر شد.
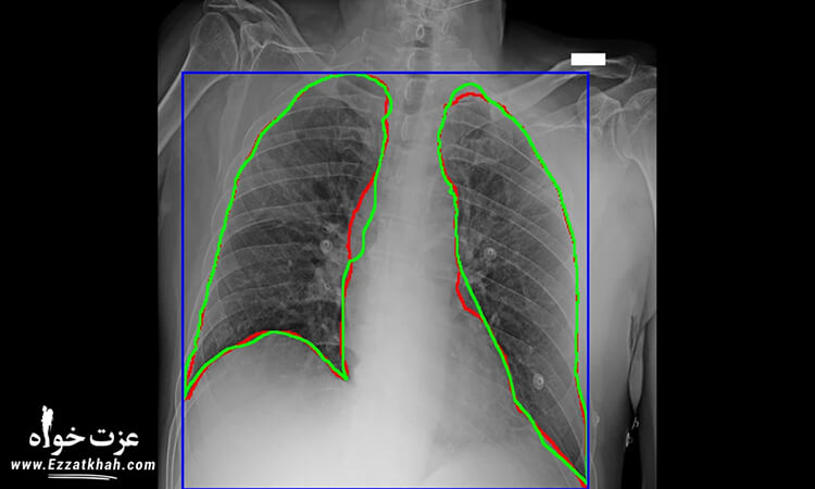
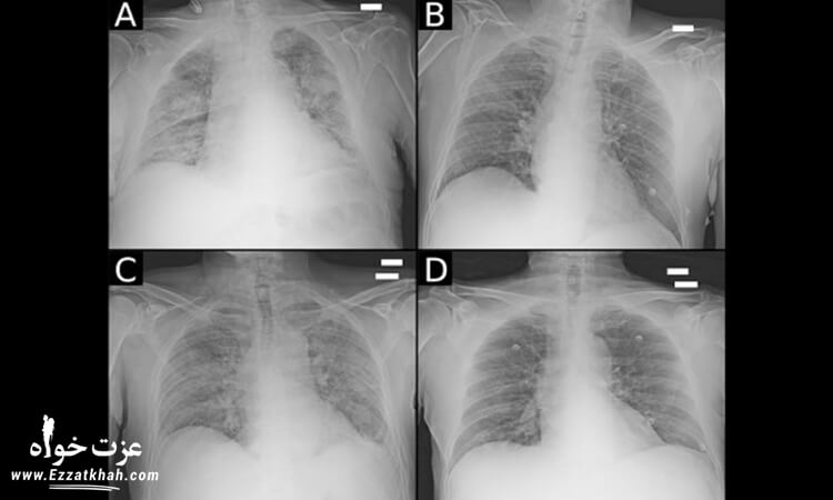
برنامه توسعه تشخیص دهی AWS باعث سرعت بخشی به پروژه هایی شده است که تأثیر مستقیمی بر تشخیص کووید 19 داشته اند، در همین راستا اقداماتی که با تشخیص پزشکی ممکن هستند، به کلی متحول شده اند.
این پروژه ها تنها در حال کمک به جوامع پزشکی در مبارزه با کووید 19 نیستند، بلکه به توسعه و تحقیق در دیگر بیماری های واگیردار نیز کمک می کنند. در زیر به تعدادی از پروژه هایی که توسط برنامه توسعه تشخیص دهی AWS حمایت شده اند، اشاره شده است:
مدرسه پزشکی دانشگاه استنفورد موفق به توسعه نوعی «سیستم هشدار» مبتنی بر ساعت هوشمند برای تشخیص کرونا شده است.

محققان آزمایشگاه مراقبت های بهداشتی مدرسه پزشکی دانشگاه استنفورد موفق به توسعه نوعی ساعت هوشمند شده اند که می تواند در صورت مشاهده هرگونه علائم در سیستم دفاعی بدن که ممکن است مربوط به کووید 19 باشد به فرد هشدار دهد.
نرم افزار به کار برده شده در این ساعت با استفاده از الگوریتم خاصی که تغییرات در ضربان قلب و تعداد قدم های فرد را به خوبی تشخیص می دهد، کار می کند. نتایج اولیه امیدوار کننده هستند و در آزمایش امتحانی آن نیز ساعت موفق شد تا وجود بیماری در فرد را 10 روز قبل از بروز هرگونه علائم تشخیص دهد.
نرم افزار هم اکنون وارد فاز دوم بررسی و تحقیقات خود شده است و تیم استفورد امیدوار است بتواند آن را بر روی 10 میلیون شرکت کننده امتحان کند تا بتوان عملکرد آن را در برابر کووید 19 در دنیای واقعی محاسبه کرد.
این سیستم تشخیص دهی زودهنگام مبتنی بر ساعت هوشمند با استفاده از تکنولوژی سرویس های وب آمازون (AWS) و با کمک تیم خدمات حرفه ای AWS تولید و توسعه یافته است، این تیم به صورت پیوسته با محققین در جمع آوری و طبقه بندی داده های به دست آمده از تحقیقات همکاری داشت.

« امیدوار هستیم غربالگری با استفاده از ابزار پوشیدنی بتواند تا راه حلی برای انجام آزمایش های وسیع و توده ای باشد تا بتوانیم از موانع موجود کنونی در زمینه آزمایش همگانی عبور کنیم و اینکه در دسترس قرار دادن و پخش داده های به دست آمده به طیف وسیع تری از محققین می تواند به کشفیات جدیدی در بهبود سلامت انسان کمک کند. » به نقل از مایکل سنایدر، پروفسور و رئیس دپارتمان ژنتیک مدرسه پزشکی دانشگاه استفورد. « ما همچنان به استفاده از سیستم های ابری و توسعه محدودیت های آن ادامه خواهیم داد. »